
Коронки. Виды коронок


Ортопедическое лечение

Клиновидный дефект
Памятка по пользованию съемными протезами
![]() |
|---|
![]() |
![]() |
![]() |
![]() |
![]() |
![]() |
![]() |
![]() |
![]() |
![]() |
![]() |
![]() |
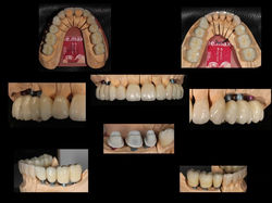
Индивидуальный абатмент
Самое лучшее при протезировании на имплантатах это изготовление коронок на индивидуальных циркониевых абатментах. Уход от круглого сечения около десны в сторону формирования индивидуального контура (чаще всего на временной коронке) позволяет добиться высокого эстетического результата, прекрасной функциональности ( не застревает пища в межзубном пространстве), стабильного результата (научно доказано, что десна имеет свойство прикреплятся к цирконию - профилактика воспалительных процессов).
![]() |
|---|
![]() |
![]() |
![]() |
![]() |
![]() |
![]() |
Ортопедическое лечение на индивидуальных абатментах, виниры и коронки E.MAX
![]() |
|---|
![]() |
![]() |
![]() |
![]() |
![]() |
![]() |
![]() |
![]() |
![]() |
![]() |
Беззубые челюсти. Цельноцирконивая балка
Самыми красивыми, на сегодняшний день, при протезировании на имплантатах на беззубых челюстях получаются протезы из цельноцирконивой балки и цементируемые на нее коронки e.max. Высокая эстетика, функциональность, легко добиться красной косметики ( восполнение утраченного объема десны и кости), соответственно, снижение обьема хирургических вмешательств.
Реконструкция улыбки

На сегодняшний день социльная реабилитация пациента является показанием к ортопедическому лечению. Человек чувствует себя некомфортно, много лет живет с комплексами, которые постепенно становятся для него нормой. Сделав себе красивую улыбку, меняется самооценка, манера поведения и общения, характер, люди становятся открытыми, изменяется и отношение окружающих людей, таким образом человек изменяет свою жизнь и, скорее всего, свое будущее.
Такие работы делаются не быстро и требуют планирования: фото, восковое моделирование, временные дигностические конструкции, часто требуется хирургическая коррекция десневого контура. Благодаря современным инструментальным и технологическим возможностям изготавливаются цельнокерамические коронки e.max на живых (недепульпированных) зубах с минимальным редуцированием (препарированием).
Виниры, белые зубы
![]() |
|---|
![]() |
![]() |
![]() |
![]() |
![]() |
![]() |
![]() |
![]() |
![]() |
Здесь показана исходная ситуация, препарированные зубы, временные виниры из композита, постоянные виниры из E.max цвет bleach bl1. Этот случай интересен еще и тем, что в верхнем фронтальном отделе на четыре резца сделаны временные коронки из композита ( из-за плохого проведенного ранее эндодонтического лечения, пришлось удалить центральный и латеральный резцы. Было одномоментное удаление, имплантация, подсадка соединительнотканного трансплантата для увеличения объема десны и формирования красной косметики, на временных абатментах сразу в день имплантации по силиконовому ключу сделаны временные коронки из композита. Ни дня пациент не проходил без зубов, не смотря на сложность клинической ситуации)
![]() |
|---|
![]() |
![]() |
![]() |
![]() |
![]() |
![]() |
![]() |
![]() |
Патологическая стираемость, бруксизм-стискивание и скрежетания зубами, дисфункция ВНЧС-боли в суставах
Зубы с возрастом стираются, но не сильно, у современного человека пища довольно мягкая - это физиологическая стираемость. При патологической стираемости зубы стираются сильно, это признак повышенного тонуса жевательной мускулатуры, окклюзионной патологии (неправильного смыкания зубов), дисфункции ВНЧС (появляются щелчки в суставах, боли, шум в ушах, ограничение подвижности челюсти). В таких случаях при восстановлении зубов нельзя торопиться, чтобы не сделать хуже. Тактика , в целом, такая - проводиться диагностика ( фото, пальпация мышц, модели в артикуляторе и т.п., мрт суставов, расчет и анализ трг, постановка диагноза, выбор терапевтической позиции, восковое моделирование зубов, макета будущей реставрационной работы, изготовление по нему временной реставрации, лучше cad/cam, ношение пациентом приблизительно две недели, при необходимости коррекция, далее изготовление постоянных коронок. После нужно сделать ночную шину, для профилактики ночного скрежетания и защиты от сколов постоянных реставраций.
![]() |
|---|
![]() |
![]() |
![]() |
![]() |
![]() |
Съемное протезирование
Съемное протезирование никто не отменял. При изготовлении частичных протезов лучше выбирать с замковой фиксацией, это удобней и нет крючков, никто не узнает, что у Вас съемные протезы.
![]() |
|---|
![]() |
![]() |
![]() |
![]() |
![]() |
![]() |
![]() |
Корон ки и мостовидные протезы на имплантатах с винтовой фиксацией
При глубине погружения абатмента под десну более двух мм доказано, что физически невозможно вычистить цемент, поэтому вседа лучше выбирать винтовую фиксацию к имплантатам, а не цементную, нет риска возникновения воспаления и периимплантита из-за оставшегося цемента. Единственный минус это шахты винтов, но они закрываются композитом и их практически не видно.
































































